
14 sep Duimprothese
De duim is een superster! Het is de Tom Cruise van de vingers!
Dankzij de duim kan je dingen stevig vastpakken. Het is een zadelgewricht waardoor hij een unieke beweging kan maken, nl. het aanraken van de andere vingers.
Zonder duim valt 40% van je handfunctie weg. Geen Paniek! Net zoals er knie- en heupprothese bestaan bestaat er ook een duimprothese.
Praktijk verantwoordelijke Ellen, vraagt uitleg aan dr. Van Parys Michiel.
Dag dokter kan u wat meer over uzelf vertellen?
Dag Ellen, ik ben Michiel Van Parys, orthopedisch chirurg verbonden aan het Jan Palfijn ziekenhuis in Gent. In 2021 ging ik er van start als orthopedist om het team te versterken met mijn kennis in de schouder-, elleboog- en handpathologie. Na mijn opleiding aan de universiteit Gent heb ik mij middels verschillende fellowships in binnen- en buitenland nog verder bekwaamd in de wereld van schouder- elleboog- en handproblemen.
Waarom koos u voor de hand en pols?
De hand is een onmisbaar hulpmiddel dat we de hele dag door gebruiken, vrijgekomen toen we tijdens de evolutie rechtop zijn gaan lopen. Het is de manier waarop we met behulp van een fijne motoriek kunnen interageren met onze omgeving. Als deze functie gecompromitteerd is, wordt dat als zeer belemmerend ervaren bij heel veel dagdagelijkse taken.
Daarom koos ik ervoor om mij gedurende een deel van mijn fellowship toe te spitsen op de pols- en handchirurgie in het handcentrum in Antwerpen. Daar leerde ik de wondere wereld van de fijnere en kleinere chirurgie kennen na mijn algemene opleiding orthopedie.
Graag had ik het vandaag met u gehad over de artrose van de duim. Kan je me daar iets meer over vertellen?
De term artrose wordt danig veel gebruikt en is correct samen te vatten als het verslijten van een gewricht. Artrose is niet te verwarren met artritis zoals reumatoïde artritis, wat een auto-immuunziekte is en dus niet hetzelfde is als ‘slijtage’. Ook al kunnen beide zaken voorkomen aan de handen, ze zijn totaal verschillend.
Bij artrose geraken de kraakbeenoppervlaktes aan de beide zijden van het gewricht beschadigd en op lange termijn kan het kraakbeen zelfs volledig verdwijnen. Dan spreken we van ‘bot-op-bot-artrose’ of artrose van de hoogste graad. Dit kan voorkomen in alle gewrichten van het menselijk lichaam. Specifiek bij duimartrose gaat het over de overgang van de duim naar de pols, namelijk tussen het middenhandsbeentje en het trapeziumbotje.
En wat zijn dan de oorzaken daarvan?
We kunnen hierbij de schuld niet bij één iets leggen. Meestal is het een combinatie van een drietal zaken namelijk: de leeftijd, de overbelasting en erfelijkheid. We zien het immers zelden voor de leeftijd van 50 jaar opkomen en het is meestal het gevolg van een langdurige en repetitieve arbeid met de duim. Door het feit dat de duim ‘uit de as’ staat ten opzichte van de andere vingers van de hand is hij ideaal om te knijpen en kracht uit te oefenen tegen de andere vingers. Elke keer we een bepaalde kracht uitoefenen met de duim is er immers een reactiekracht van 13 maal de kracht aan de tip van de duim. Dus als je 2 kilogram knijpt met de duimtip komt dit dus overeen met 26 kilogram in het gewricht aan de duimbasis. Maar het is niet zo eenvoudig want ook de erfelijke belasting speelt mee in de ontwikkeling van de artrose. Dat is de reden waarom twee niet-verwante personen van dezelfde leeftijd met dezelfde zware job niet per se allebei duimartrose zullen ontwikkelen.
OK aan twee van de drie zaken kan de patiënt dus al niet veel doen om de artrose te vermijden. Alleen de opgelegde belasting kan hij verminderen. Maar stel dat hij of zij dan toch artrose ontwikkelt hoe gaat die patiënt dat dan merken?
De klassieke symptomen zijn die van langzaam verergerende pijn, soms kraken maar vaker ook zwelling aan de basis van de duim. Nadien gaat ook de kracht afnemen bij het gebruik van de duim. Heel typisch is het feit dat mensen het moeilijk krijgen om een bokaal open te draaien of om aardappelen te schillen. Het klinken belachelijk lichte en banale activiteiten maar de duimfunctie speelt hierbij een grote rol en kan zo een forse belemmering vormen in het dagelijks leven.
En is de pijn aan de duimbasis dan het enige hoe de artrose te objectiveren valt?
Neen maar pijn is echt wel het hoofdsymptoom. In één op twee gevallen gaat dit samen met een carpaaltunnel, dus enige voorzichtigheid is wel geboden. Maar met een goed klinisch onderzoek kunnen we als artsen wel duidelijk het onderscheid maken. Daarenboven gaan we in praktijk altijd een radiografie laten uitvoeren om ons vermoeden te bevestigen maar ook de ernst van de artrose in te schatten. De klachten zijn niet altijd recht evenredig met de zichtbare slijtage van het gewricht.
Je zei dat één van de oorzaken overbelasting is. Is het aangeraden om dan net veel te rusten met de duim of moeten ze de duim bewegen om soepel te houden?
Klopt. Inderdaad één van de oorzaken is overbelasting.
In theorie mag je zeker het gewricht blijven mobiliseren om het gewricht soepel te houden. Echter is het mobiliseren niet zozeer het probleem wel ontstaat er pijn indien er kracht wordt uitgeoefend. En die pijn willen we inderdaad zo veel mogelijk vermijden. Als behandeling zullen we bij duimartrose dus steeds starten met pijnstilling en aanpassing van de activiteiten zo mogelijk. Meestal zijn de patiënten reeds bij hun huisarts langs geweest en komen ze met de klacht bij mij dat ze ondanks pijnstilling te veel hinder hebben in het dagelijks leven. De volgende therapeutische stap is een duimbrace die de duimbasis stabiliseert tijdens het uitoefenen van duimbewegingen. Deze brace helpt bijzonder goed omdat hij bovendien nog steeds wel beweging toestaat in de twee gewrichten die verderop naar de top van de duim gelegen zijn.
Ook een corticoïde infiltratie kan gegeven worden in het gewricht, best met behulp van een echografietoestel. Zo ben je zeker dat het correct in het kleine gewrichtje terechtkomt. Naar mijn aanvoelen werkt dit goed maar vaak van veel te korte duur. Daarom raad ik het de mensen niet aan, maar als ze er zelf voor kiezen meld ik het uiteraard wel. Want het feit dat de patiënt nadien, al is het maar even, pijnvrij is, geldt als bewijs voor de diagnose en kan op zich samen met de pijnstilling een tijdelijke verlichting zijn. Andere opties zijn hyaluronzuur en PRP. Het eerste wordt in de volksmond ook wel ‘gel’ genoemd omdat het naast het ontstekingswerend effect ook een soort buffer vormt en het gewricht beter laat glijden. Het tweede staat voor ‘PlaatjesRijk Plasma’. Een deel van de patiënt zijn of haar eigen bloed, het plasma, wordt geïnjecteerd in het ontstoken gewricht. Beide producten zijn alternatieven die geen last hebben van de gekende bijwerkingen van het corticoïde. Echter kan de wetenschappelijke literatuur nog geen duidelijk superieur effect aantonen tussen al de net genoemde producten en moet dus, voor elke patiënt, gezocht worden met welke infiltratie hij het meest gebaat is.
Maar als al dat niet helpt is een prothese aangewezen?
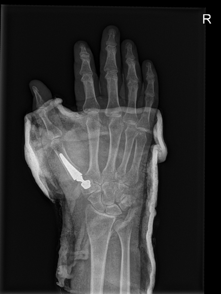
Ja inderdaad. Alvorens ik de patiënt bevestig dat hij of zij baat heeft bij een duimprothese laat ik evenwel eerst nog een scan nemen om enkele medisch/technische zaken na te kijken. Zo wil ik weten of het überhaupt mogelijk is om een prothese te plaatsen en of er in de pols ook geen andere oorzaken zijn van de pijn aan de hand.
Zou je kunnen uitleggen hoe zo een ingreep uitgevoerd wordt en wat er allemaal bij komt kijken?
De ingreep gebeurt in dagziekenhuis. De patiënt hoeft dus niet te overnachten en kan de dag zelf naar huis. Tijdens de ingreep wordt via een 4-tal centimeter lange incisie toegang gemaakt tot het versleten gewrichtje. Aan beide kanten van het gewricht wordt het afgesleten kraakbeen verwijderd. In het middenhandsbeentje van de duim wordt een steeltje geplaatst dat ter hoogte van het gewricht eindigt in een bolletje. Dat bolletje zal dan contact maken en draaien in een pannetje dat wordt bevestigd aan de andere kant van het gewricht. De ingreep zelf duurt ongeveer een 40 minuten. Na de ingreep krijgt de patiënt een immobilisatie van de duim tot de controleafspraak. Vanaf dan mag de duim weer nat gemaakt worden en is het aangewezen om de duim langzaamaan opnieuw te gebruiken.
Kunnen patiënten na de revalidatie dan weer alles doen met hun duim?
Jazeker. De pijn van voordien is weg en beetje bij beetje keert de souplesse en de functie van de duim weer volledig terug. De terugkeer naar volledige functie is variabel en schommelt van 4 tot 8 weken. In principe mogen de patiënten er alles mee doen wat ze ervoor deden. Het enige wat ik wel afraad is zware manuele arbeid zoals werken met pneumatische toestellen. Dit zware werk gaat ten koste van de levensduur van de prothese. Maar in het algemeen kunnen we stellen dat zo’n prothese gemiddeld toch 15 jaar mee kan gaan.
Tot slot, wat zou u mensen adviseren die last hebben van duimpijn?
Wacht niet te lang met zoeken van medisch advies en hulp. Laat u begeleiden door uw huisarts of een chirurg met ervaring binnen de handchirurgie. Hij of zij zal dan kunnen bepalen wat uw diagnose is. Als het duimartrose is moet je weten dat er veel behandelingsmogelijkheden zijn, zowel operatief als niet-operatief. Een vroege aanpak kan de klachten verminderen en de functie van de duim zo lang mogelijk behouden.
Bedankt voor uw tijd en interessante uitleg.
Graag gedaan
Meer weten: neem gerust een kijkje op www.drvanparys.be
of neem contact op met

Gerelateerd